Top.Mail.Ru
Имплантация ALL-ON-4 от 185 000 ₽ за хирургический этап с последующим полным восстановлением челюсти в Ярославле
записаться

Имплантация ALL-ON-4 от 185 000 ₽ за хирургический этап

Имплантация ALL-ON-4 от 185 000 ₽ за хирургический этап

C последующим полным восстановлением челюсти на четырёх имплантатах OSSTEM (Ю. Корея) с полным объяснением всех этапов лечения!
Получить консультацию
Подходит пациентам без зубов или с некоторым количеством зубов в челюсти, подлежащих удалению, в том числе и с дефицитом костной ткани
Имплантация ALL-ON-4 от 185 000 ₽ за хирургический этап

Что входит в акционное предложение?

  • Цифровое сканирование для изготовления хирургического шаблона
  • Хирургический шаблон
  • 4 имплантата OSSTEM (Ю.Корея) и их установка
  • 4 мультиюнита
  • Наложение и снятие швов
  • Анестезия
  • Контрольные осмотры
  • Гарантия

Почему трудно решиться на дорогое и длительное протезирование?

Страшно, что "не приживется" и нет понимания, во сколько все это обойдется в итоге!
Вся боль сомнений особенно чувствуется в комментариях и на форумах:
  • Нашел хирурга, где найти «протезиста»?
  • Где и когда удалять зубы?
  • Куда обращаться за наращиванием кости?
  • Когда мне приходить на следующий прием и к кому?
  • Мне нужны временные конструкции — где их взять?
  • Во сколько обойдется лечение — полностью «под ключ»?
  • Что делать, если один специалист поставил импланты, а второй никак не может на них поставить протез? Кто в этой ситуации неправ? И сколько еще мне ходить без зубов?
Почему трудно решиться на дорогое и длительное протезирование?

Решение - проверенная клиника и пакетные предложения

Было - координация и вся ответственность на пациенте, нет плана и полной стоимости лечения.
  • Сложность с координацией между лечащими специалистами
  • Лечение и диагностика проходят в разных местах
  • Нужно самому договариваться о каждом приеме отдельно
  • Пациент не знает полную стоимость лечения, только отдельного этапа
  • Каждый врач отвечает за свой кусок работы, но никто не несет ответственности за окончательный результат
Это постоянный стресс, страх за результат, невозможность спланировать свой бюджет.
Стало - комплексное спланированное лечение с фиксированной ценой.
  • План лечения и полный расчет его стоимости сразу на первой консультации
  • Все лечение проходит в одном месте у слаженно работающей команды специалистов
  • Руководство личного координатора, который поможет записаться на прием, напомнит о рекомендациях врача и ответит на любые вопросы
  • Клиника несет полную ответственность за Вас и Ваш результат лечения на длительную перспективу
  • В "Да Винчи" Вы не останетесь один на один с Вашей проблемой!
Это спокойствие, безопасность, плановые расходы и уверенность в результате, который останется в Вами на долгие годы!

Пакетные предложения с включением последующих этапов

Начальный

Оптимальный

Полный

Минимальный пакет, который гарантирует пациенту комфортное восстановление после установки имплантатов. Оптимально для пациентов, которые не готовы сразу принять решение о постоянном протезировании.

Подойдет для тех пациентов, которым не нужно временное протезирование на период остеоинтеграции из-за клинических показаний или собственных предпочтений. Этот пакет позволяет получить полностью завершенное лечение с постоянным протезированием по максимально выгодной цене.

Подходит для тех, кто ценит эстетику и комфорт, выбирая полное лечение у нас. Мы предлагаем быстрое восстановление улыбки: после имплантации устанавливается временный протез, который затем меняется на постоянный. Наша ответственность за результат обеспечивает безупречный итог лечения.

Хирургический этап:

✔ Консультация 2-х специалистов
✔ Цифровое сканирование
✔ Хирургический шаблон
✔ 4 имплантата OSSTEM с установкой
✔ 4 мультиюнита
✔ Наложение и снятие швов
✔ Анестезия
✔ Контрольные осмотры
✔ Гарантия

от 185 000 ₽

Хирургический этап:

✔ Консультация 2-х специалистов
✔ Цифровое сканирование
✔ Хирургический шаблон
✔ 4 имплантата OSSTEM с установкой
✔ 4 мультиюнита
✔ Наложение и снятие швов
✔ Анестезия
✔ Контрольные осмотры
✔ Гарантия

от 185 000 ₽

Хирургический этап:

✔ Консультация 2-х специалистов
✔ Цифровое сканирование
✔ Хирургический шаблон
✔ 4 имплантата OSSTEM с установкой
✔ 4 мультиюнита
✔ Наложение и снятие швов
✔ Анестезия
✔ Контрольные осмотры
✔ Гарантия

от 185 000 ₽

Временное протезирование:

✔ Сканирование
✔ Принтованные модели
✔ Временные коронки на имплантате

от 98 000 ₽

нет

Временное протезирование:

✔ Сканирование
✔ Принтованные модели
✔ Временные коронки на имплантате

от 98 000 ₽

нет

Постоянное протезирование условно-съемным протезом из титана:

✔ Сканирование
✔ Принтованные модели
✔ Титановая балка
✔ Протезирование полным съемным протезом на балочной конструкции PMMA - титан постоянного ношения.

от 233 000 ₽

Постоянное протезирование условно-съемным протезом из диоксида циркония:

✔ Сканирование
✔ Принтованные модели
✔ Титановая балка
✔ Протезирование полным протезом из диоксида циркония

от 442 000 ₽

Итого: от 283 000₽

Итого: от 418 000₽

Итого: от 725 000₽

Почему имплантаты, установленные в "Да Винчи"— гарантия результата навсегда?

Мы подходим к тотальному восстановлению улыбки комплексно и несем полную ответственность за долговременный результат, поэтому ничего лишнего, только основательные и проверенные решения на каждом этапе - от диагностики и высокоточной установки имплантата, до финальной фиксации постоянного протеза!

Почему имплантаты, установленные в "Да Винчи"— гарантия результата навсегда?
«Мы работаем только с проверенными системами: Osstem (Южная Корея), Medentika (Германия), Nobel Biocare (Швейцария) Эти импланты проходят строгий контроль качества, имеют высокую приживаемость и международную гарантию.»
Больгерт Артур Юльевич, стоматолог-хирург, имплантолог, ортопед
Опытные врачи
Наши специалисты владеют современными методиками и работают строго по протоколу.
Цифровая стоматология на каждом этапе
Наши технологии исключают ошибки и делают процесс точным и безопасным.
Без боли и стресса
По желанию пациента имплантация проводится под наркозом — с участием опытного анестезиолога.
Всё «под ключ»: от диагностики до коронки
Вам не нужно искать других специалистов
Прозрачная цена и честный подход
Вы заранее знаете стоимость и план лечения. Возможна оплата поэтапно.
Мы с вами не только во время операции
После имплантации мы продолжаем наблюдение за вашим состоянием.
Имплантация ALL-ON-4 от 185 000 ₽ за хирургический этап
Имплантация ALL-ON-4 от 185 000 ₽ за хирургический этап
Мы всегда рядом - от первой консультации до полного завершения лечения и контрольных осмотров через 3-5-10 лет!

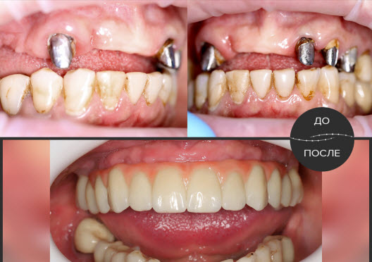
Реальные случаи. Настоящие результаты

«Удаление — безболезненно! Временный протез — все хорошо! Постоянное протезирование — скоро будет!»
Анатолий
Возраст пациента: 72 года
«Мне без проблем удалили остатки зубов и уже на 5 день после операции зафиксировали временную конструкцию»

Провели:

  • удаление всех несостоятельных зубов на верхней челюсти;
  • установку 4-х имплантатов «Медентика» (Германия);
  • временное протезирование конструкцией на титановой балке;
  • в настоящий момент пациент находится в периоде реабилитации и ожидает установки постоянного протеза.
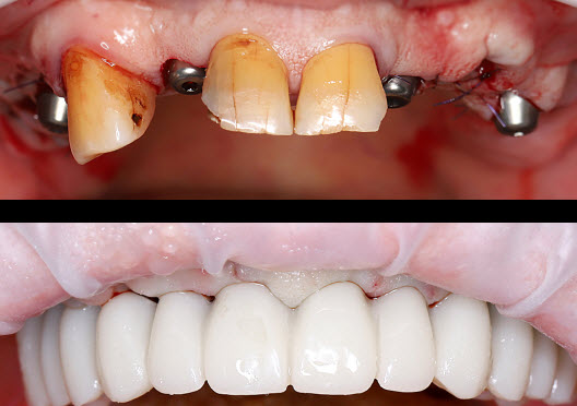
Возрастной пациент
Длительность лечения: 5 месяцев
«Я смогла вернуться к привычной жизни уже через 5 дней после операции, а через 5 месяцев я полноценно жую, говорю и улыбаюсь!»

Провели:

  • удаление всех несостоятельных зубов на верхней челюсти;
  • установку 4-х имплантатов «Медентика» (Германия);
  • установку временного и постоянного протеза.
Пациента
Возраст: 60 лет

Как мы восстанавливаем Ваши зубы по методу «все на 4-х»?

Объясняем пошагово, как всё устроено

  1. Диагностика и планирование Консультация, компьютерная томография (КТ), цифровое сканирование (снятие слепков).
  2. Подготовка к установке имплантатов Профессиональная гигиена полости рта, лечение зубов и десен (если необходимо).
    *Данный этап необходим, если протезируется только 1 челюсть, а на второй остаются свои зубы.
  3. Хирургическая часть: установка имплантатов Методика All-on-4 предполагает установку четырёх имплантатов в одной челюсти. Процедура проходит под местной проводниковой анестезией или наркозом по запросу пациента. Фиксация временного протеза может осуществляться одновременно с установкой имплантатов или через некоторое время.
  4. Постоянное протезирование Спустя 3-6 месяцев после интеграции имплантатов в костную ткань проводится финальное постоянное протезирование условно-съемным протезом выбранной модели.
Скачать памятку пациенту

Кому вы доверите свою улыбку

4.9
Романова Анастасия Сергеевна
Опыт работы: 8 лет
Стоматолог-хирург, имплантолог
Записаться
«В хирургии нет мелочей: чем точнее план — тем спокойнее пациент и предсказуемее результат»

Почему пациенты выбирают Анастасию Сергеевну:

  • стоматолог-хирург, имплантолог с системным клиническим мышлением и взвешенным подходом к лечению;
  • делает акцент на детальное планирование и цифровые технологии, чтобы минимизировать риски и повысить точность;
  • комплексно ведёт каждого пациента: от диагностики до финального результата;
  • уделяет особое внимание комфорту и спокойствию.

Анастасия Сергеевна — врач, с которым сложное лечение становится понятным и контролируемым.

4.9
Больгерт (Загребельный) Артур Юрьевич
Опыт работы: 10 лет
Стоматолог-хирург, имплантолог, ортопед
Записаться
«Я уверен, что помимо качественного профильного образования и опыта — это не обсуждается, врач обязан просто любить людей. Далеко не каждому человеку дан дар эмпатии, поэтому по-настоящему хорошим врачом можно только родиться!»
Артур Юрьевич совмещает 2 специализации, которые очень тесно связаны в его работе — хирурга-имплантолога и стоматолога-ортопеда. Для его пациентов это означает, что им точно не нужно искать второго специалиста, который качественно поставит протез на их имплантаты. Работа будет выполнена идеально от и до!
4.9
Чернышева Алена Игоревна
Опыт работы: 9 лет
Анестезиолог-реаниматолог
Записаться
«Для меня крайне важны как физическая, так и психологическая безопасность каждого моего пациента.»

Алёна Игоревна — врач-анестезиолог, и в этой профессии она — по любви.


Работает как со взрослыми, так и с маленькими пациентами — каждого окружит чутким вниманием и приободрит нужным тёплым словом перед процедурой.


Лечение с ней — действительно не страшное и спокойное, потому что всё объяснит, расскажет до мельчайших подробностей, ответит на все вопросы про наркоз. И все страхи перед лечением просто как рукой снимет.

Часто задаваемые вопросы (FAQ)

Что такое протезирование по протоколу All-on-4 и как оно работает?

Методика All-on-4 — это один из современных способов восстановления зубов при полном или почти полном их отсутствии. Ее суть заключается в том, что на верхней или нижней челюсти устанавливаются всего четыре имплантата, которые служат опорой для несъемного протеза.

Преимущество такого подхода в том, что не требуется устанавливать отдельный имплантат под каждый отсутствующий зуб. Это позволяет сократить сроки лечения и снизить травматичность процедуры. Кроме того, All-on-4 подходит даже в тех случаях, когда объем костной ткани ограничен и обычная имплантация затруднена.

Чтобы точно определить возможность применения методики All-on-4 в Вашем случае, нужно провести компьютерную томографию челюстей. После этого мы сможем обсудить с Вами возможные варианты лечения и подобрать оптимальное решение.

Какие показания и противопоказания существуют для протезирования по методу All-on-4?

Метод All-on-4 отлично подходит, если у Вас нет или мало своих зубов, при этом Ваши зубы сильно разрушены или подвижны.

Противопоказания к методу All-on-4 сводятся к абсолютным и относительным противопоказаниям к установке имплантатов.

    Абсолютные противопоказания:
  • Тяжелые заболевания сердечно-сосудистой системы в стадии декомпенсации.
  • Онкологические заболевания в стадии лечения или активной фазы.
  • Нарушения свертываемости крови, тяжелые заболевания крови.
  • Заболевания иммунной системы.
  • Психические расстройства.
    Относительные противопоказания, которые требуют предварительного лечения или коррекции:
  • Неконтролируемый сахарный диабет в стадии декомпенсации.
  • Острые воспалительные процессы в полости рта.
  • Хронические системные заболевания в стадии обострения — например, ревматоидный артрит, волчанка и др.
  • Беременность и период лактации.
  • Злоупотребление алкоголем, наркотиками и курением.

Перед принятием окончательного решения необходимо пройти консультацию и обследование у специалиста, чтобы оценить Вашу ситуацию и подобрать оптимальный план лечения.

Как проходит подготовка к процедуре установки имплантатов?
  1. Сначала мы запишем Вас на консультацию к стоматологу-ортопеду и хирургу-имплантологу. Вам необходимо будет посетить приемы у 2-х специалистов, которые будут совместно заниматься Вашим лечением. На консультациях Вас осмотрят, Вы обсудите с врачами Вашу ситуацию и поделитесь своими пожеланиями.
  2. Затем наступает этап диагностики. Вам необходимо сделать компьютерную томографию, чтобы посмотреть состояние костной ткани и десен, и пройти цифровое сканирование полости рта для создания хирургического шаблона. После диагностики врачи создадут для Вас полный план лечения, мы согласуем с Вами его детали и полную стоимость лечения.
  3. Подготовка к установке имплантатов. Если у пациента в полости рта остаются свои зубы, которые требуют внимания, то для облегчения периода реабилитации мы проведем профессиональную чистку и пролечим все воспаления при необходимости.
  4. После того как подготовка завершена и хирургический шаблон готов, назначается день операции для установки 4-х имплантатов.
Какие обследования и анализы необходимы перед началом имплантации?
    Для восстановления челюсти на имплантатах пациенту необходимо:
  • Сделать компьютерную томографию (КТ) для оценки состояния костной ткани и десен.
  • Пройти цифровое сканирование полости рта для создания хирургического шаблона.
  • В случае, если у пациента имеются общие хронические заболевания или планируется имплантация под наркозом, могут быть назначены общий анализ крови и электрокардиограмма (ЭКГ).
Сколько времени занимает установка имплантатов и временного протеза?

Установка имплантатов проводится одномоментно с удалением зубов (при необходимости) и иногда с фиксацией временной протезирующей конструкции, согласно индивидуального плана лечения. Длительность операции занимает примерно от 40 минут до 2-х часов, в зависимости от запланированного объема манипуляций.

Какой тип анестезии используется во время имплантации All-on-4?

При проведении хирургического этапа лечения — установки имплантатов, мы используем местную проводниковую анестезию или общий наркоз по запросу пациента.

Как проходит восстановление после установки имплантатов?

После установки имплантатов Вам понадобится некоторое время для восстановления. Обычно первые несколько дней пациент ощущает дискомфорт и отек в области десен — это нормально и проходит самостоятельно. Мы рекомендуем использовать холодные компрессы, чтобы уменьшить отек и принимать назначенные препараты.

Важно следить за гигиеной полости рта. Чистите зубы мягкой щеткой, используйте рекомендованные врачом полоскания, избегайте жесткой пищи и старайтесь не курить, так как это замедлит заживление.

На протяжении первых нескольких недель будет важно регулярно посещать стоматолога для контроля за процессом заживления. Обычно через 3-6 месяцев имплантаты приживаются, мы сможем перейти к этапу постоянного протезирования.

Помните, что реакция организма и сроки реабилитации всегда индивидуальны. При возникновении кровотечения, боли и других симптомов, пациенту нужно срочно связаться с врачом. Мы будем рядом, чтобы ответить на Ваши вопросы и поддержать на этом пути.

Когда можно установить постоянный протез на имплантаты?

Постоянный протез на установленные имплантаты фиксируют после завершения процесса приживления имплантатов — остеоинтеграции. Он занимает в среднем от 3-х до 6-ти месяцев. Сроки зависят от того, на какой челюсти проводилась имплантация, состояния костной ткани и индивидуальных особенностей организма пациента.

Какие преимущества предлагает метод All-on-4 по сравнению с традиционными методами протезирования?
    Однозначными плюсами методики являются:
  • Возможность протезирования при недостатке костной ткани и атрофии челюсти, когда обычная имплантация невозможна или сильно затруднена.
  • Минимальный объем хирургического вмешательства, поскольку пациенту не нужно устанавливать по имплантату на каждый отсутствующий зуб.
  • Быстрое восстановление жевательной функции и эстетики улыбки, в отличие от множественной классической имплантации.
  • Протез, установленный по методике All-on-4, в отличие от съемных протезов, комфортен и надежен при жевании и разговоре, не требует слишком больших усилий в уходе и прекрасно выглядит в улыбке.
Сколько стоит процедура протезирования по протоколу All-on-4 и что входит в эту стоимость?
    Полная стоимость протезирования челюсти по протоколу All-on-4 включает в себя:
  • Стоимость хирургического этапа, которая зависит от марки и модели выбранных имплантатов.
  • Стоимость установки временных протезов, которая зависит от вида этой конструкции, при условии, что такие протезы нужны пациенту.
  • Стоимость постоянного протезирования на имплантатах, которая тоже зависит от материала протеза.

В период действия предложения нашей стоматологии «Да Винчи» в Ярославле полная стоимость протезирования, включая установку имплантатов, временные и постоянные протезы начинается от 516 000Р.

Как долго служат имплантаты и постоянный протез, установленный по этому методу?

Средний срок службы протеза, установленного на 4-х имплантатах по методу All-on-4, зависит от его конструкции и материала, и в среднем составляет 10-15 лет, после чего может быть заменен.

Имплантаты при правильном уходе и должной профилактике остаются с пациентом до конца жизни.

Цены актуальны до 31 мая 2026 года!
  • Консультация специалистов – 1000 ₽
  • Подарок — индивидуальный план лечения
16
дней
:
06
час
:
24
минуты
:
33
секунд
Получить скидку
Звоните в клинику в Ярославле
+7 (930) 100-05-01
{Пн–Пт 9:00 - 20:00} {Сб 9:00 - 18:00}
Задать вопрос и записаться на приём можно через удобный мессенжер. Пишите нам:
Позвоните или напишите нам прямо сейчас
+7 (930) 100-05-01
{Пн–Пт 9:00 - 20:00} {Сб 9:00 - 18:00}
Мы вернем вам вашу улыбку!
Отправьте заявку на консультацию специалистов - хирурга и ортопеда, чтобы зафиксировать стоимость предложения и получить в подарок индивидуальный план лечения!

Да Винчи – клиника, которой доверяют

14+ лет
14+ лет
Средний стаж специалистов нашей клиники
Работаем с 2015 года
Работаем с 2015 года
Более 3000 довольных маленьких пациентов
Дружелюбная атмосфера
Дружелюбная атмосфера
Дети и родители чувствуют себя как дома
Гибкий график приёма
Гибкий график приёма
Подстроимся под ваш удобный день и время
Нет скрытых платежей
Нет скрытых платежей
Озвучиваем стоимость сразу после консультации
Современная техника
Современная техника
Лечим быстро, бережно и комфортно
Удобная парковка
Удобная парковка
Рядом с клиникой
Записаться на консультацию
Выберите город
Выберите клинику
Назад
Выберите клинику
Назад
Ваша запись подтверждена
Спасибо за Ваше сообщение. Оно успешно отправлено.